Οστεοαρθρίτιδα Ισχίου

Οστεοαρθρίτιδα ισχίου

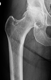
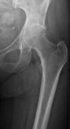
Οστεοαρθρίτιδα του ισχίου είναι η διαρκώς επιδεινούμενη φθορά κι εκφύλιση της άρθρωσης με αποτέλεσμα την πλήρη καταστροφή της. Εμφανίζεται σε άνδρες και γυναίκες συνήθως μετά το 60ο έτος ηλικίας προκαλώντας έντονο πόνο, μεγάλη δυσχέρεια στην κίνηση και βάδιση και δραματική επίδραση στην ποιότητα ζωής των ασθενών.

Εμφανίζει μεγάλη αύξηση στη συχνότητα της στο γενικό πληθυσμό λόγω της αύξησης του μέσου όρου ζωής αλλά και της ενασχόλησης όλο και μεγαλύτερων ανθρώπων με τα σπόρ.

Η οστεοαρθρίτιδα του ισχίου στα πρώιμα στάδια αντιμετωπίζεται με αντιφλεγμονώδη και χονδροπροστατευτικά φάρμακα, δυστυχώς με φτωχά αποτελέσματα. Οι συντηρητικές θεραπείες όπως τα φάρμακα, η φυσικοθεραπεία, τα υαλουρονικά υψηλού μοριακού βάρους και οι βιολογικοί παράγοντες ( stem cells) έχουν αποτέλεσμα στα αρχικά και μεσαία στάδια της πάθησης.

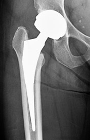
Ριζική θεραπεία αποτελεί η ολική αρθροπλαστική του ισχίου, δηλαδή ολική αντικατάσταση της άρθρωσης με προθέματα. Η επέμβαση ξεκίνησε προ 50 ετών και έδωσε λύση σε εκατομμύρια ασθενών που μέχρι τότε ήταν λειτουργικά ανάπηροι.

 

Τα τελευταία χρόνια δυναμικά στο προσκήνιο μπαίνουν οι εγχειρήσεις μικρής επεμβατικότητας, δηλαδή με μικρές τομές και προσπελάσεις. Η ΑΜΙS (αρθοπλαστική μικρής επεμβατικότητας) είναι μέθοδος με πολύ μικρή τομή ( μικρότερη των 10 εκατοστών) χωρίς τομή μυών ή τενόντων όπως στην κλασσική επέμβαση. Έτσι η μετεγχειρητική νοσηλεία είναι πολύ ελαφρύτερη, με σπάνιες επιπλοκές, ελάχιστες μεταγγίσεις και πολύ γρήγορη κινητοποίηση, από την 2η ημέρα.

 

Η ΑΜΙS είναι εξαιρετική επιλογή στη θεραπεία οστεοαρθρίτιδας του ισχίου, δεν μπορεί όμως να εφαρμοστεί σε όλους τους ασθενείς (σωματότυπος). Απαιτεί ειδικά εργαλεία κι εκπαιδευμένη στη μέθοδο χειρουργική ομάδα.